-
見た目を整え、 自然な白さを。
将来を見据えた、
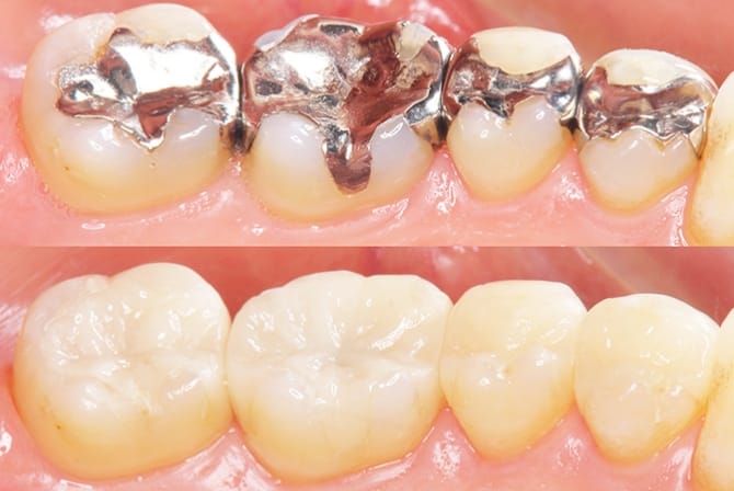
審美修復・メタルフリー「きれいな口元=よく噛める」と言われるように、審美修復をすると見た目のコンプレックスの解消はもちろん、お口の健康管理やケアもしやすくなります。
審美修復・メタルフリーの治療は一人ひとり使用する材料や方法が異なります。ご要望をしっかりお聞きし、状況に応じた治療をご提案いたします。また、材料は金属アレルギーの方にもご使用していただけるメタルフリー治療を行っているので安心して治療を受けられます。
審美修復の主な目的
- 前歯の色合いや形を整える
- 銀歯を白い歯に整える
- 歯と歯茎の境目をきれいに整える
-
歯科医師と歯科技工士が連携。
お悩み解消・ご要望実現のための
西尾歯科の体制西尾歯科には技工所が併設されており、技工士が常駐しています。また、セレックシステムを導入し、精度の高い治療を行っています。各種セラミック治療に対応していて、メタルフリーも取り扱っているのでご自身にあった材料で治療ができます。
着手前にはトリートメントカウンセラーから治療内容を丁寧に説明いたしますので安心して治療を受けられます。
治療内容
ラミネートベニア
歯の表面をうすく削って合成樹脂やセラミックの箔をはりつけます。歯を削る量が少なく、比較的短期間できれいになります。
症例
セラミッククラウン、インレー
金属を使わない、セラミックのみのかぶせ物、詰め物です。現在世界的に歯科の世界では、健康のためお口の中をノンメタル―金属をなくす治療―にしていく方向にあります。天然の歯に近い色調が得られやすく、変色がおきにくい材質です。
症例
ハイブリッドセラミッククラウン、インレー
セラミックに硬質レジンを加えた、ハイブリッド型(混合型)の材料を使います。硬さが硬すぎず、保険のレジンより強度的にも審美的にもすぐれています。
症例
ジルコニア
ジルコニアは審美性に優れた素材です。ジルコニアは二酸化ジルコニウムのことで、人工ダイヤモンドと呼ばれるくらい耐久性があります。強い歯ぎしりなどの負荷がかかる奥歯にも使用可能です。また、金属アレルギーの方でも安心して使用できます。
症例
セレックシステム
院内に設置しているミリングマシンと呼ばれる機械(CAM)、コンピュータで設計されたデータをもとにセラミックブロックを院内の設備で削り出します。修復物を短時間で整えることができ、治療期間を短くできます。
また、3D光学カメラで直接口腔内をスキャンできることで、手作業による型取りが不要になりました。その為、今まで以上に正確な咬み合わせを実現できます。
症例
メタルフリーのメリット
-
メタルフリー治療とは金属(銀歯など)を使用しない、セラミックなどのノンメタル素材で行う治療のことを言います。
金属アレルギーの発症はもちろん、金属イオンによる歯ぐきの黒ずみ・くすみの心配もありません。見た目も白く、天然歯に近い自然な仕上がりになります。
歯科医師と
歯科技工士が連携
お悩み解消・ご要望実現のための西尾歯科の体制
技工所を併設
西尾歯科は技工所を併設しており、
技工士が常駐しています。
セレックシステムを導入
コンピューターでお口の中を3D撮影して
正確な補綴物をお作りします。
メタルフリーに対応
各種セラミック治療に対応しています。
治療内容を丁寧にご説明
トリートメントカウンセラーが
治療内容を丁寧にご説明いたします。
歯科医師のご紹介
副院長
森下 賢一
kenichi morishita
西尾歯科には、口腔外科、インプラント、矯正歯科、インビザライン矯正、審美修復歯科を専門とする歯科医師が在籍しています。この体制により、歯科疾患のあらゆる症状を治療できるようになりました。大阪府内でもここまでの体制を整えられている歯科医院は多くないと思います。
ご来院くださる患者様の一人一人にしっかりと向き合い、西尾歯科に在籍する歯科医師同士が連携しながら、丁寧な治療と応対を心がけてまいります。また皆様との対話時間を大切に、わかりやすい説明と共に治療を進めてまいりますので、気になることがあればいつでもご相談ください。
歯科技工士のご紹介
-
西尾歯科では、院内に歯科技工士が常駐しています。詰め物・かぶせ物など、ご家族の皆様お一人お一人にあった技工物を作成しています。
むし歯治療が早く・適切に実施されるには歯科技工士と医師の連携は不可欠です。
歯科医師と歯科技工士が綿密にやり取りし、ご家族の皆様の状況を一緒に確認しているのでより精度の高い治療を実現しています。
歯科技工士
松田 智典
tomonori matsuda
西尾歯科には、親子3代一緒に通って頂けるような歯科医院にしたい、という西尾院⾧の理念に沿って、保険・自費診療、矯正歯科、インプラントなど、あらゆる症状を治療できる体制が整えられています。このように多様な治療が実施されている西尾歯科では、”詰め物”などの補綴物や矯正器具も、様々な種類が製作されています。
私は、それらの製作を担当しています。普段は西尾歯科内にある技工所で作業をしており、患者様と直接お会いする機会はありませんが、歯科医師と連携し、患者様のお口に合うように製作に取り組んでいます。これからも、患者様に安心していただけるよう、これまでの経験を活かしてまいります。
保険適応外治療の価格
むし歯治療で削った歯には、補綴物(被せ物・詰め物)を装着します。
補綴物には、保険で対応できるものと自費(保険適応外)で対応するものがあり、
そのうち、自費(保険適応外)で対応する補綴物は、歯科医院ごとに価格が異なります。
西尾歯科では、以下の内容で取扱がございますので、ご参照ください。
| インレー・アンレー | ||
|---|---|---|
| セラミック(保証期間 5年) | ||
| 1本 | ¥66,000(税込み) | 治療回数2-3回 |
| ゴールド(保証期間 5年) | ||
| 1本 | ¥66,000 | 治療回数2-3回 |
| ハイブリッドセラミック(保証期間 3年) | ||
| 1本 | ¥55,000(税込み) | 治療回数2-3回 |
| クラウン(前歯) | ||
|---|---|---|
| オールセラミック(保証期間 5年) | ||
| 1本 | ¥143,000(税込み) | 治療回数2-3回 |
| メタルボンド(保証期間 5年) | ||
| 1本 | ¥165,000(税込み) | 治療回数2-3回 |
| ハイブリッドセラミック(保証期間 3年) | ||
| 1本 | 88,000(税込み) | 治療回数2-3回 |
| プレミアムセラミック(保証期間 5年) | ||
| 1本 | ¥165,000(税込み) | 治療回数2-3回 |
| クラウン(奥歯) | ||
|---|---|---|
| オールセラミック(保証期間 5年) | ||
| 1本 | ¥143,000(税込み) | 治療回数2-3回 |
| メタルボンド(保証期間 5年) | ||
| 1本 | ¥165,000(税込み) | 治療回数2-3回 |
| ゴールド(保証期間 5年) | ||
| 1本 | ¥143,000 | 治療回数2-3回 |
| ハイブリッドセラミック(保証期間 3年) | ||
| 1本 | ¥88,000(税込み) | 治療回数2-3回 |
| プレミアムセラミック(保証期間 5年) | ||
| 1本 | ¥165,000(税込み) | 治療回数2-3回 |
| 項目 | 単位 | 価格(税込み) | 治療回数の目安 | |
|---|---|---|---|---|
| インレー・アンレー | セラミック(保証期間 5年) | 1本 | ¥66,000 | 2-3回 |
| ゴールド(保証期間 5年) | 1本 | ¥66,000 | 2-3回 | |
| ハイブリッドセラミック(保証期間 3年) | 1本 | ¥55,000 | 2-3回 | |
| クラウン(前歯) | オールセラミック(保証期間 5年) | 1本 | ¥143,000 | 2-3回 |
| メタルボンド(保証期間 5年) | 1本 | ¥165,000 | 2-3回 | |
| ハイブリッドセラミック(保証期間 3年) | 1本 | ¥88,000 | 2-3回 | |
| プレミアムセラミック(保証期間 5年) | 1本 | ¥165,000 | 2-3回 | |
| クラウン(奥歯) | オールセラミック(保証期間 5年) | 1本 | ¥143,000 | 2-3回 |
| メタルボンド(保証期間 5年) | 1本 | ¥165,000 | 2-3回 | |
| ゴールド(保証期間 5年) | 1本 | ¥143,000 | 2-3回 | |
| ハイブリッドセラミック(保証期間 3年) | 1本 | ¥88,000 | 2-3回 | |
| プレミアムセラミック(保証期間 5年) | 1本 | ¥165,000 | 2-3回 |
※上記保証期間については定期的な検診を受けることが条件となります。
※保証期間中であっても通常の受診料は必要となります。
-
総合歯科だからできる総合的なサポート。
審美修復・メタルフリー治療は
西尾歯科にお任せください。丁寧なカウンセリングを通して、患者様のご要望をしっかりとお聞きし、実現まで二人三脚でサポートいたします。
審美歯科・メタルフリーに関するご質問がある際には、西尾歯科へお気軽にご相談ください。
その他の診療
-
むし歯や歯周病で
お困りの方 -
お子様の歯の健康が
ご心配な方 -
歯を失ってしまった方
-
矯正やホワイトニングを
ご検討の方 -
ご来院できない方

