-
歯周病を治療・予防し、
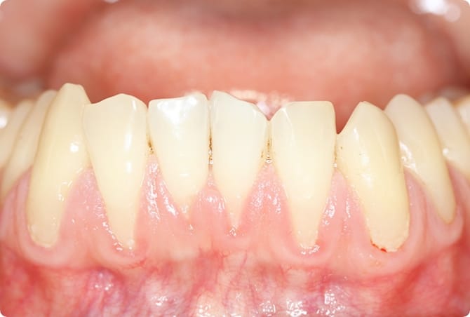
ご自身の歯を守りましょう歯周病は、細菌の感染によって引き起こされる炎症性疾患で、歯の周りの歯茎や骨が溶けてしまう病気です。
歯の表面に付いたプラークの中のバクテリアが、歯と歯ぐきの境目から侵入することで、歯を支えている周りの組織を破壊してしまいます。
歯周病の進行と治療方法
-
成人が歯を失う最大の原因が歯周病であることはご存じでしょうか。歯周病の原因は、歯と歯ぐきの間にたまった歯垢の中にいる歯周病菌です。これが歯を支える組織を破壊し、歯根膜や歯槽骨を溶かしていきます。気が付かないうちに症状が進行してしまうこともあり、最終的には歯が抜けてしまうことにもなるため、早い段階での治療・予防が大切です。
歯周病の進行と治療方法
歯周病はある日突然、重度の症状が出るのではなく、徐々に進行する病気です。
重度になってから治療するのではなく、早い段階から予防しましょう。
このような症状がある場合、
歯周病が進行している可能性があります
-
起床時、
口の中がネバネバする -
ブラッシングのときに
出血する -
硬いものが噛みにくい
-
口臭が気になる
-
歯肉がときどき腫れる
-
歯と歯の間に
すきまができてきた -
歯がグラグラする
-
膿が出てくる
ワンポイント解説
歯周病の症状は、お口の中のネバつきなどの些細なことから痛みを伴うものまで、進行状況によって様々です。小さな変化でも違和感を覚えたらすぐ当院へご相談ください。
歯周病治療の流れ
-
step01
歯周病検査①
歯周ポケットの深さやプラークの付着状態、X線検査などを行い、歯周病の進行度合いを確認し、ご家族の皆様それぞれにあった治療計画を立てます。
-
step02
ブラッシング指導・スケーリング
初期治療として、ブラッシング方法の改善、歯垢や歯石の除去、仮歯の作製、簡単なむし歯の治療などを行います。
-
step03
歯周病検査②
初期治療が一通り終わったら、もう一度歯周組織の検査を行います。治癒したご家族の皆様にはメンテナンスに移行して頂き、さらに治療が必要な方にはルートプレーニングへ進んでいただきます。
-
step04
ルートプレーニング
スケーリングでは除去できない、歯周ポケット内部の歯石や歯根表面の汚染されたセメント質を除去し、歯の根を硬く滑らかにします。
-
step05
精密検査
歯周病検査②と同様に、歯周組織の検査を行います。
-
step06
メンテナンス
治療終了後も、数ヶ月に一度、歯科衛生士がクリーニングとメンテナンスを担当し、歯ぐきの状態をチェックします。再び歯周病で困ることがないよう、西尾歯科ではご家族の皆様の状態を見守っていきます。
歯科衛生士のご紹介
西尾歯科には、歯周病治療の経験を豊富に持つ歯科衛生士が在籍しており、定期健診・PMTCを目的に来院される患者様の口腔内クリーニングを行っています。中には、毎月のように来院してくださる方もいらっしゃいますし、半年に一度、ご来院される方もいらっしゃいます。
さらに、当院では口の機能面のサポートにも取り組んでいます。口の機能とは主に「食べる」「話す」「呼吸する」ことで、言い換えれば生きるために必要不可欠な機能だと考えています。
これらの機能を、子供の時には正常に発達させること、50歳以降には機能の低下を早期発見し対処することが、生涯の健康に繋がると確信しています。
当院には管理栄養士も在籍しておりますので、歯科医師と共に連携しながら、皆さまが、生涯食事や会話などで不自由を感じることなく健康長寿でいられるようにサポートいたします。
西尾歯科では研修専用の施設を所有しており、講師としても活躍している歯科衛生士をお招きし、技術・品質の向上に努めています。
歯科衛生士
上野 千里
CHISATO UENO
「患者様に歯科疾患への予防意識」を持っていただくこと、これが私たち西尾歯科の歯科衛生士が担う一番の役割だと思います。
歯科疾患の中でも、特に歯周病は自覚症状を感じにくい疾患です。その進行具合によっては、治療期間が長引いてしまうこともあります。また、加齢と共に歯を失う事が増えるのも、この歯周病が原因だと言われています。
西尾歯科に通ってくださる全ての患者様の”常食”を実現したいという想いを持ち、これからも、1人でも多くの方が歯科疾患への予防意識を高めていただけるように取り組んで参ります。
-
歯科医師と歯科衛生士が協力して、
歯周病を治療します。西尾歯科では、歯科医師が治療を担当し、歯ぐきが健康な状態に戻るようにサポートしています。また、治療後も数か月に一度歯科衛生士がクリーニングとメンテナンスを担当し、歯ぐきの状態をチェックします。
歯科医師と歯科衛生士が力を合わせて、その場の治療だけで終わらない継続的な歯の健康をお守りしますので、今回ご紹介した症状に少しでも当てはまる方は西尾歯科へご相談ください。
-
口腔管理体制強化
加算認可施設の
西尾歯科「口腔管理体制強化加算認可施設」とは、ひとりの患者様を赤ちゃんから生涯に渡り、専門的な歯科医療を提供し続けることが出来る歯科医院に認定される制度です。むし歯や歯周病の重症化予防治療を広く定着させることを目的として始まりました。
西尾歯科は、皆様の「かかりつけ医」として、長期間に渡り皆様の歯の健康をお守りしたいと考えております。西尾歯科への通院ができなくなっても、訪問歯科にて、従来の診断・治療内容を反映した最適な治療を行います。
その他の診療
-
むし歯や歯周病で
お困りの方 -
お子様の歯の健康が
ご心配な方 -
歯を失ってしまった方
-
矯正やホワイトニングを
ご検討の方 -
ご来院できない方

